Healio: Early data shows new treatment effective for pediatric Hodgkin lymphoma patients
UC expert presents clinical trial data at ASCO conference
A new combination treatment for patients with advanced-stage Hodgkin lymphoma is safe and effective in pediatric patients, according to early new clinical trial data.
Robin E. Norris, MD, associate professor in the University of Cincinnati Department of Pediatrics in the College of Medicine and director of clinical research for oncology and co-director of the young adult oncology program at Cincinnati Children's Hospital Medical Center, presented updated data from an ongoing phase 1/phase 2 clinical trial of a new combination treatment at the American Society of Clinical Oncology Annual Meeting in Chicago last week. The presentation was highlighted in a recent article by Healio.
The trial is studying the effectiveness of a drug called brentuximab vedotin, a combination immunotherapy and chemotherapy agent, with other chemotherapy regimens.
The drug has been FDA approved as a first-line therapy for adults, and the clinical trial has shown safety and effectiveness so far with patients aged 5-18.
“These safety and efficacy data are consistent with those seen in adult patients,” Norris said. “These findings support the use of brentuximab plus AVD as a reasonable option for pediatric patients with newly diagnosed, advanced-stage classical Hodgkin lymphoma."
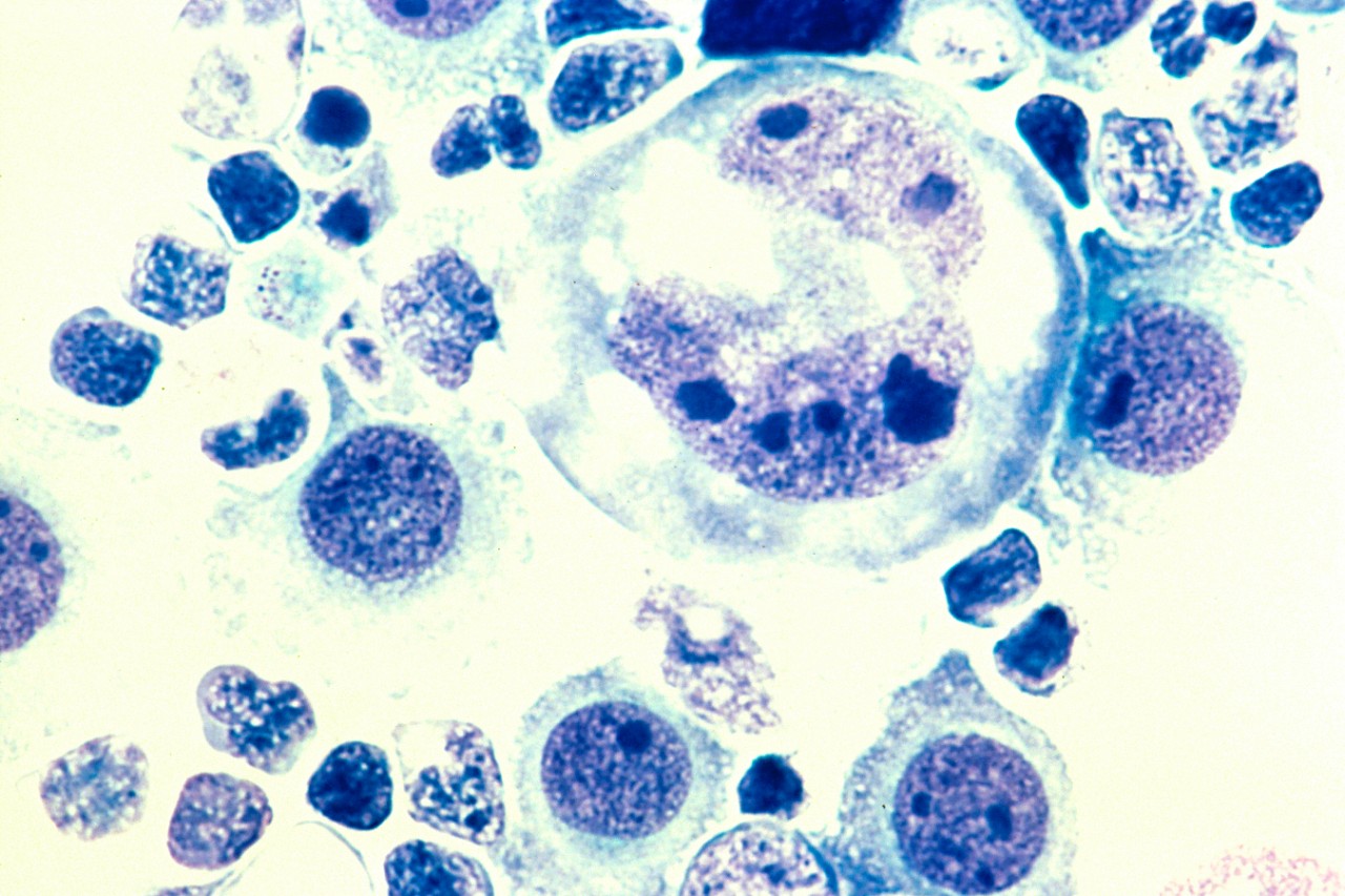
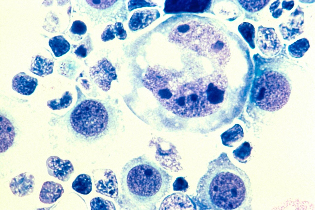
Featured photo at top of human lymphoma tumor cells courtesy of the National Cancer Institute.
Related Stories
Scientists discover how snakes stand upright without limbs
April 3, 2026
Smithsonian magazine highlights a study co-authored by UC Professor Bruce Jayne, an expert in snake locomotion, about how snakes stand upright without arms or legs.
On track: Hoffman Honors Scholar studies public transit
April 2, 2026
Public transit is where Zane Sawyer’s lifelong passion for travel meets his commitment to making an impact. The University of Cincinnati first-year geography major in the College of Arts & Sciences and member of the second cohort of Hoffman Honors Scholars (HHS) has hit the ground running, designing a research project intended to capture both how public transit works and how its users perceive it.
UC design student works with sports greats in co-op
April 2, 2026
Spectrum News profiles UC College of Design, Architecture, Art, and Planning communication design student Jayden Balwally, who had an internship with the Oklahoma City Thunder and worked with the Heisman Trophy Trust and the College Football Playoff.