GEN News: Biomarker discovery to help predict breast cancer outcomes
Genetic Engineering & Biotechnology News recently featured research from the University of Cincinnati's Susan Waltz, PhD, and Susanne Wells, PhD.
The duo recently published research on biomarkers that help predict breast cancer outcomes and could be targets for new treatments.
The current research focused on the role of metabolic plasticity, or how metabolism in the body is constantly changing, which plays a significant role in how cancer grows and recurs. The research team found that oncogenes called Ron and DEK can regulate certain metabolites, substances made or used when the body breaks down food, drugs or chemicals in the process of metabolism, to help cancer cells grow and spread.
By studying the enzymes involved, the team identified a metabolic signature that can help better predict outcomes for patients. In addition to being a helpful biomarker, the metabolic signature itself could be a potential target for new therapies.
“Regulating metabolites is much easier than regulating genes,” said Wells, professor in the UC Department of Pediatrics, director of the Epithelial Carcinogenesis and Stem Cell Program at Cincinnati Children’s and a Cancer Center member. “Now we are really opening up a path that is much wider than just targeting Ron and DEK. Hopefully someday we can treat these worst features of cancer by targeting cancer metabolism.”
The research was also featured in Cosmos Australia. Read the Cosmos story.
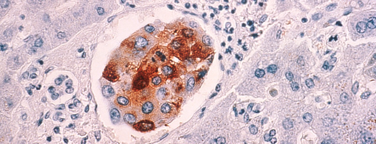
Featured photo at top of breast cancer cells metastasized to the liver. Photo courtesy of National Cancer Institute.
Related Stories
Scientists discover how snakes stand upright without limbs
April 3, 2026
Smithsonian magazine highlights a study co-authored by UC Professor Bruce Jayne, an expert in snake locomotion, about how snakes stand upright without arms or legs.
On track: Hoffman Honors Scholar studies public transit
April 2, 2026
Public transit is where Zane Sawyer’s lifelong passion for travel meets his commitment to making an impact. The University of Cincinnati first-year geography major in the College of Arts & Sciences and member of the second cohort of Hoffman Honors Scholars (HHS) has hit the ground running, designing a research project intended to capture both how public transit works and how its users perceive it.
UC design student works with sports greats in co-op
April 2, 2026
Spectrum News profiles UC College of Design, Architecture, Art, and Planning communication design student Jayden Balwally, who had an internship with the Oklahoma City Thunder and worked with the Heisman Trophy Trust and the College Football Playoff.