UC researcher develops at-home diagnostic test for endometriosis

Expert's story featured in overseas publication

Katherine Burns, PhD, has been suffering from endometriosis, an often painful, chronic condition, since childhood. 

Currently, the University of Cincinnati College of Medicine associate professor and director of the Division of Environmental Genetics and Molecular Toxicology in the Department of Environmental and Public Health Sciences works in her faculty research lab studying the development of endometriosis.

Burns has created a non-invasive diagnostic test that can be used in the comfort of one’s home.

As she recently told Happiest Health based in India, Burns has suffered from the condition since she was about 11 — but did not get it diagnosed until her 20s. She had to visit several doctors and wait for a decade for an endometriosis diagnosis.

Endometriosis is a condition in which tissue similar to the endometrium (lining of the uterus) grows outside of the uterus. It can cause debilitating pain and can even potentially lead to infertility. Diagnosis of the condition is often delayed.

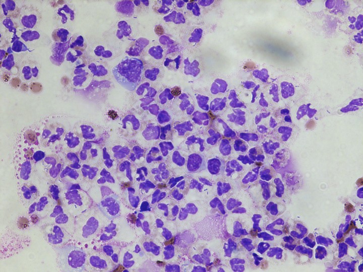
Surgical procedures are currently used to diagnose endometriosis, but the Burns Lab has developed a non-invasive diagnostic test that collects menstrual fluid for analysis.

“By looking specifically at the immune cells in menstrual fluid, we were able to physiologically and morphologically find stark differences in the cells in women with endometriosis compared to healthy women,” said Burns.

Several women who suffer from the condition donated their menstrual fluid for the lab’s research. 

“They show that there are specific phenotypes and sub-populations of cells in the menstrual fluid of women with endometriosis that are different from healthy women," said Burns.

Read how Burns plans to expand her research cohort.

Featured image at top: Menstrual fluid under a microscope. Photo/Provided by Burns Lab.

Related Stories

1

University of Cincinnati’s IDD Education Center to Host Ninth Annual Red & Black Blast

December 18, 2025

The University of Cincinnati’s IDD Education Center will host its ninth annual Red & Black Blast on February 25, 2026, at Tangeman University Center. The signature event celebrates and supports the Center’s four programs—CEES, TAP, IMPACT Innovation, and RAAC—which create pathways in education, employment, and community life for individuals with intellectual and developmental disabilities (IDD).

2

PhD student uses engineering to understand cardiovascular system

December 17, 2025

Drawn to the University of Cincinnati for the strong reputation in cardiovascular research and the connections with the UC Medical Center, Shrayesh Manegaonkar is pursuing a PhD in mechanical engineering at the College of Engineering and Applied Science. Recently, he was named Graduate Student Engineer of the Month for his work on biofluid mechanics, aiming to develop better diagnostic tools for cardiovascular diseases.

3

Ohio looks to fast-track wastewater discharge permits

December 16, 2025

Bradford Mank, James B. Helmer Jr. Professor of Law at the University of Cincinnati, spoke with WVXU for a story about a proposal by the Ohio Environmental Protection Agency to streamline the way wastewater discharge permits are issued to data centers.