Reuters Health: RF ablation could be option for some thyroid cancers
Radiofrequency ablation (RFA), a minimally invasive treatment, could be a safe and effective treatment for low-risk thyroid cancers, according to a new study.
RFA is an alternative to surgery where a small needle elctrode is inserted into a nodule using ultrasound guidance. Heat generated at the needle tip can destroy target tissue, in this case low-risk papillary microcarcinomas of the thyroid.
Tammy Holm, MD, PhD, assistant professor of surgery in the University of Cincinnati College of Medicine's Department of Surgical Oncology and Department of Cancer Biology and a UC Health thyroid cancer surgeon and specialist, reviewed the recent study for Reuters Health and said RFA presents a great opportunity to scale down treatment from an operating room to an outpatient doctor's office visit with similar outcomes.
"RFA is potentially an incredibly valuable tool for the management of thyroid cancer and a skill that endocrine surgeons must develop in order to provide the best possible care for their patients with both benign and malignant disease," Holm said. "Large-scale prospective studies looking to establish the efficacy of RFA as an alternative or even adjunct to surgery will be valuable moving forward."
Read the Reuters Health article.
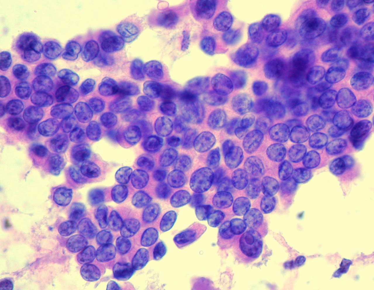
Featured photo at top of papillary carcinoma of the thyroid by Ed Uthman/Creative Commons.
Related Stories
Leukemia and Drug Development Lab trains the next generation of scientific researchers
December 15, 2025
From undergraduate student workers to members of the Physician Scientist Training Program (PSTP), trainees in UC's Leukemia and Drug Development Lab shared their experiences of in-depth, hands-on training that contribute to real-world discoveries.
Make Hoxworth Blood Center’s special holiday events part of your family celebrations this December
December 12, 2025
This December, Hoxworth Blood Center, University of Cincinnati, is inviting families across Greater Cincinnati to add something truly meaningful to their holiday traditions: giving the gift of life. With festive community events, beloved local partners and special thank-you gifts for donors, Hoxworth is making it easier, and more heartwarming than ever, to roll up your sleeves and help save lives close to home.
Ohio nurses weigh in on proposed federal loan rule
December 12, 2025
Spectrum News journalist Javari Burnett spoke with UC Dean Alicia Ribar and UC nursing students Megan Romero and Nevaeh Haskins about proposed new federal student loan rules. Romero and Haskins, both seniors, were filmed in the College of Nursing’s Simulation Lab.